Project Showcase

Highlight of my featured works

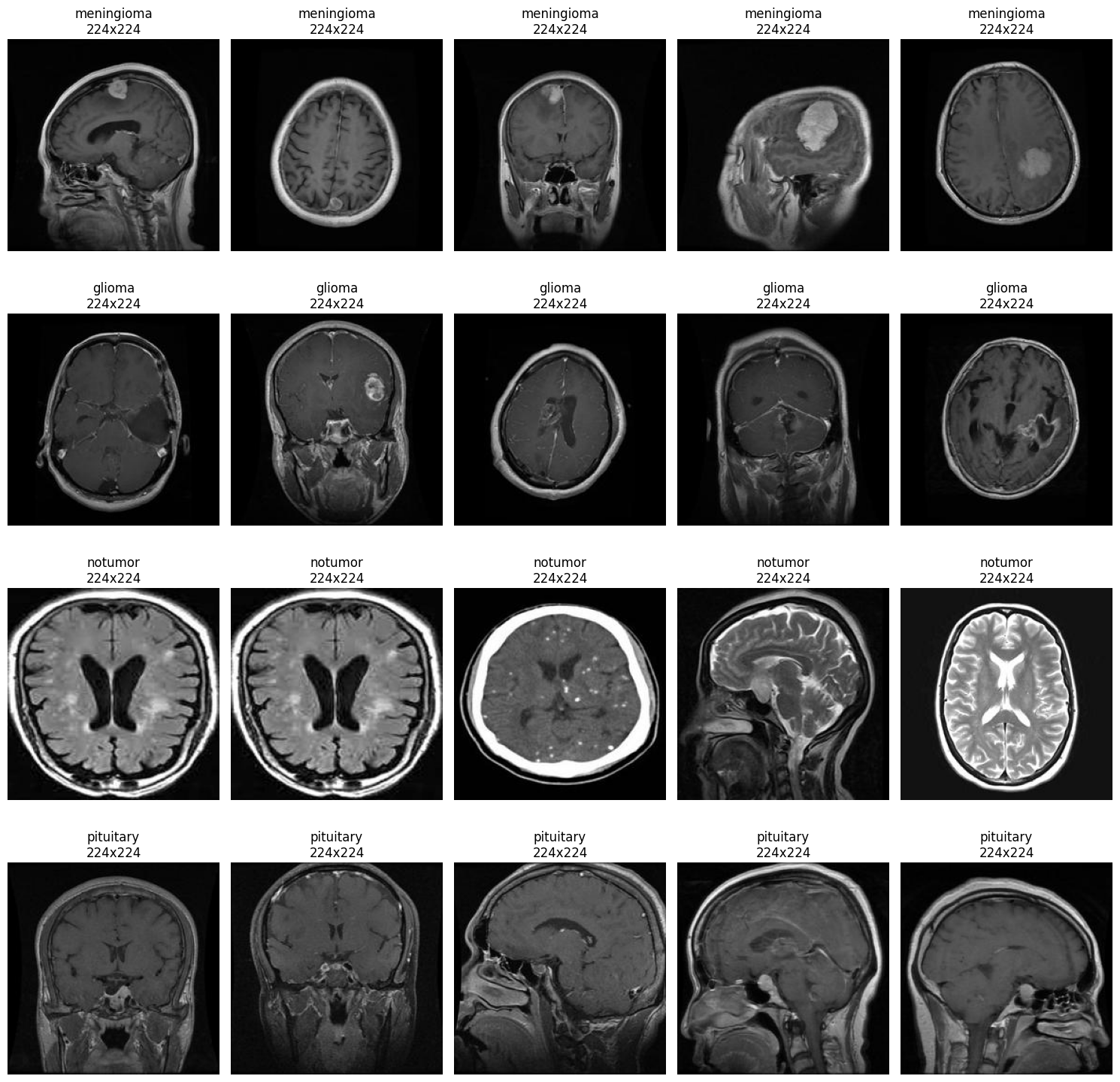
Brain Tumor Classification

Deep Learning / Medical Imaging 2025

A deep learning project using transfer learning with EfficientNet, DenseNet, and MobileNet to classify brain tumors from medical images.

Sample Brain Scan Model Comparison Chart Confusion Matrix Result

🎯 What I Learned

  • Applied transfer learning with EfficientNet, DenseNet, and MobileNet
  • Compared classification reports and confusion matrices
  • Improved accuracy with fine-tuned pre-trained models

🛠 Tech Stack

  • Python, Pandas, NumPy
  • Matplotlib, PIL
  • TensorFlow / Keras
  • EfficientNet, DenseNet, MobileNet

📌 Evaluation / Next Step

Transfer learning significantly improved classification accuracy compared to baseline CNNs. EfficientNetV2S achieved the best performance in accuracy and speed. However, dataset limitations may cause overfitting, so future work includes augmentation, cross-validation, and ensembling.